-
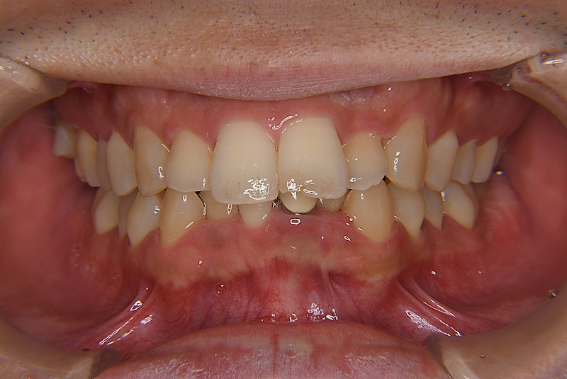
Before

-
After

| 主訴 | 口臭及び歯茎からの出血 |
|---|---|
| 年齢 | 32歳 男性 |
| 診断名 | 軽度歯周炎 |
| 通院期間 | 6カ月 |
| リスク | 歯周病治療後に知覚過敏症状が出るリスク |
口臭及びブラッシング時の出血が主訴で来院
レントゲン撮影では、明らかな骨レベルの低下(歯を支える骨が溶けている)は認めず
ポケット(歯周ポケット)の深さはおおむね4~5mm程度
歯周基本治療から開始(歯周ポケット検査+専用に器具を用いてスケーリング)
歯茎からの出血量が少なくなり、歯茎の腫れも治まってきたことから継続して歯周病治療の継続を行った(歯周精密検査+SRP)
半年後に撮影した口腔内写真では、初診時と比べ明らかな歯石がなくなり歯茎の炎症も治まっていた
口臭改善とブラッシング時の出血がなくなり非常に喜ばれました






